HOME | CT検査

CT検査

CT検査

CT検査(ヘリカル)

X線を周囲よりらせん状に照て、全身の断層写真(輪切りの写真)を数秒で撮り各臓器を詳細に検査します

肺癌、膵癌
CT検査

CT検査(ヘリカル)

X線を周囲よりらせん状に照て、全身の断層写真(輪切りの写真)
数秒で撮り各臓器を詳細に検査します。

肺癌、膵癌
 適応病変
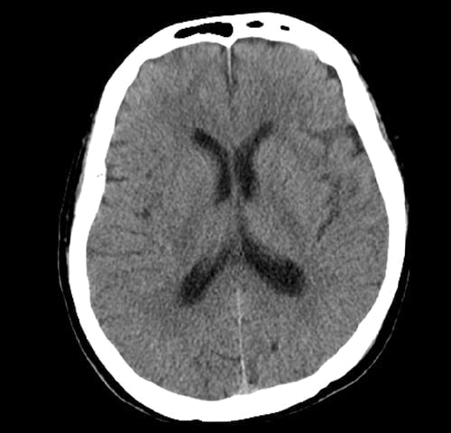
(脳出血・脳梗塞・脳腫瘤)病変
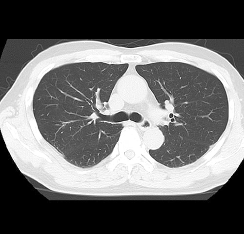
(肺炎・肺気腫・ 肺がん)病変
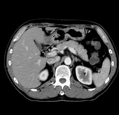
腹部(肝臓・胆のう・ 膵臓・腎臓)病変
骨盤(膀胱・前立腺・子宮・卵巣)病変
血管大動脈瘤など)病変を早期に発見することができます。
※胸部レントゲン写真で解りにくい 肺がんの発見
※胃の裏でみつかりにくい膵臓がんの発見に有用です
 
すべての画像は 放射線専門医の読影による二重チェックを行っています。
 
※CT検査で造形剤を使用した場合は、検査後多くの水分を摂ってください。
脳

肺

腹部

腹部