HOME | エコー検査

エコー検査

エコー検査

エコー検査

超音波を臓器に当て、その反響(エコー)を映像化して各臓器を調べる検査法です。

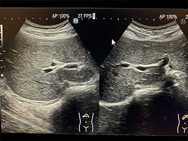
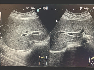
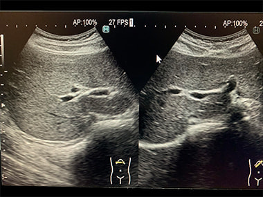
腹部エコー検査:
腹部臓器(肝臓・胆のう・膵臓・腎臓・脾臓)、腹部大血管、骨盤病変(膀胱・前立腺・子宮・卵巣)、リンパ節などに異常病変がないかを検査します。

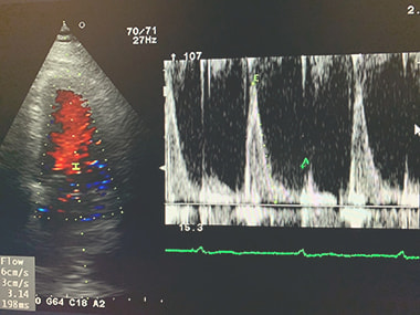
心エコー検査:
心臓が正常に働いているかどうかを調べる検査です。心臓の大きさ、動き、
弁の状態、血液の流れなどを調べ、弁膜症、心筋症、心不全などを診断します。

頸動脈エコー検査:
動脈硬化の程度、血栓(プラーク)・狭窄などを検査します。
糖尿病・高血圧・高脂血症などの生活習慣病の方には必要な検査です。

甲状腺エコー検査:
甲状腺の大きさ・腫瘍(のう胞・腺腫・がん)の有無などを調べます。
炎症・良性悪性腫瘍の診断に役立ちます。


肝臓

膵臓

心臓

甲状腺